Se você precisa usar aparelho ortodôntico e o fator estético te incomoda, saiba que hoje é possível realizar o seu tratamento de maneira eficiente e com discrição
Atendendo às necessidades de clientes que se queixavam por ter que usar o convencional aparelho metálico, o Dr. Mauro, exercendo a especialidade de Ortodontia há 18 anos, realizou cursos, congressos e credenciamento para oferecer aos seus clientes alternativas de tratamento que satisfizessem seus anseios.
Hoje é possível realizar o tratamento ortodôntico estético através das seguintes técnicas:
– Alinhadores Invisíveis
– Ortodontia Lingual
– Aparelhos estéticos de safira e porcelana
Os Alinhadores Invisíveis são placas removíveis obtidas através de um minucioso planejamento digital e modelos confeccionados em impressora 3 D. Com os alinhadores o paciente tem a vantagem de poder remove-los para higienização e alimentação.

O aparelho lingual é uma técnica de alta tecnologia, colado na face interna dos dentes, tendo seus braquetes feitos com bordas totalmente polidas e arredondadas, logo, evita qualquer lesão .

Em alguns casos a correção ortodôntica com o uso do aparelho lingual poderá ser mais rápida uma vez que, esse trabalha com uma distância entre os braquetes menor que o aparelho convencional. Dr. Mauro realiza essa técnica com exclusividade em Passo Fundo e região.
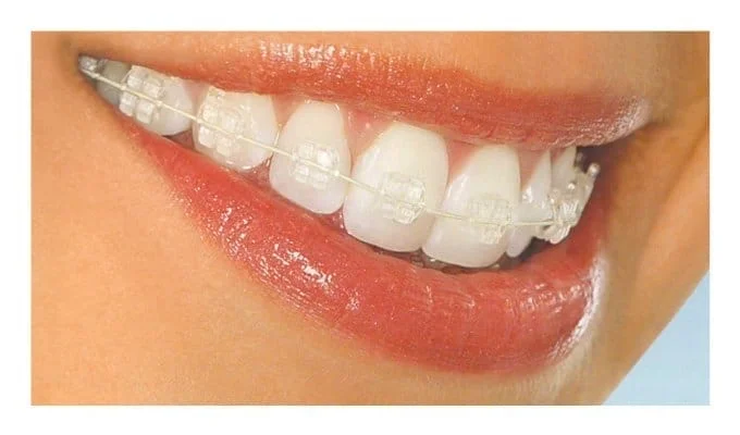
Os aparelhos estéticos de safira e porcelana são confeccionados em material translúcido que se assemelha a cor dos dentes, passando muitas vezes despercebida. A mecânica de movimentação é a mesma do aparelho convencional.

Portanto se você precisa realizar seu tratamento ortodôntico, agende sua consulta com o especialista e saiba mais sobre as modernas opções citadas!

Dr. Mauro Lopes CRO/RS 22391
Especialista em Ortodontia e Ortopedia Facial
Especialista em Implantodontia
Mestrado em Odontopediatria
Pós-graduado em Ortodontia Lingual
Credenciado em Alinhadores Invisíveis
Odontoclin – Av. Brasil, 1283
(54) 3312-3880
Av. Pres. Vargas, 1594 – ao lado do Passo Fundo Shopping
(54) 3632-6662
drmaurolopes@hotmail.com